Theo đó, thông tin từ Bệnh viện 19-8 cho biết: Các bác sĩ Khoa Ngoại tổng hợp (B3), Bệnh viện 19-8 (Bộ Công an) vừa tiếp nhận và điều trị một trường hợp ung thư đường tiêu hóa ở người bệnh cao tuổi (73 tuổi), kèm nhiều bệnh lý nền và đã có di căn gan.
Bệnh nhân nam T.X.T (73 tuổi), nhập viện trong tình trạng mệt mỏi kéo dài, ăn uống kém, da niêm mạc nhợt, kèm theo đi ngoài phân đen nhiều ngày. Trước đó, người bệnh cho rằng đây chỉ là rối loạn tiêu hóa thông thường nên tự điều trị tại nhà.
Bệnh nhân có tiền sử tăng huyết áp, đái tháo đường… làm tăng nguy cơ biến chứng và khiến việc điều trị trở nên phức tạp hơn.
Khám sức khỏe, phát hiện bệnh ở giai đoạn tiến triển
Sau khi nhập viện, người bệnh được thăm khám và làm các xét nghiệm cần thiết. Kết quả cho thấy tình trạng thiếu máu mức độ trung bình.
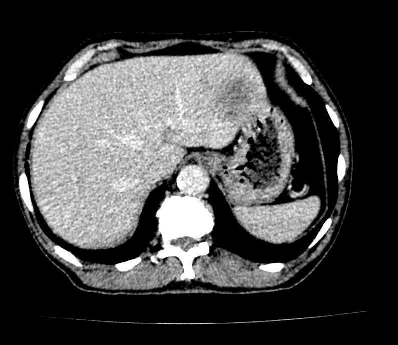
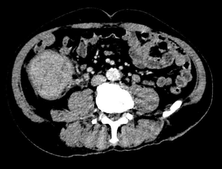
Nội soi tiêu hóa phát hiện tổn thương nghi ngờ ác tính. Các thăm dò hình ảnh tiếp theo ghi nhận tổn thương di căn gan, cho thấy bệnh đã ở giai đoạn tiến triển.
Bệnh nhân được hội chẩn liên chuyên khoa để đánh giá toàn diện tình trạng bệnh, khả năng can thiệp cũng như lựa chọn phương án điều trị phù hợp.
 |
| Hình chụp của người bệnh khi khám sức khỏe tại bệnh viện. (Ảnh: BV198) |
 |
| Hình chụp của người bệnh khi khám sức khỏe tại bệnh viện. (Ảnh: BV198) |
Phẫu thuật nguy cơ cao - cân nhắc kỹ lưỡng
Sau khi đánh giá toàn diện, ê-kíp điều trị quyết định chỉ định phẫu thuật nhằm xử lý tổn thương chính, kiểm soát triệu chứng và tạo điều kiện cho các bước điều trị tiếp theo.
Ca phẫu thuật do TS.BS. Nguyễn Minh Tuấn – Phó Giám đốc Bệnh viện 19-8 (Bộ Công an) trực tiếp thực hiện, với sự phối hợp chặt chẽ của ê-kíp gây mê – hồi sức.
Đây là trường hợp đặc biệt khó do:
- Tuổi cao (73 tuổi).
- Nhiều bệnh lý nền.
- Thể trạng suy giảm, thiếu máu.
- Ung thư đã có di căn gan.
Vì vậy, cả phẫu thuật và gây mê đều được tính toán chặt chẽ, theo dõi sát trong suốt quá trình mổ.
 |
| :Các bác sĩ Bệnh viện 19-8 (Bộ Công an) trong ê-kíp mổ Phẫu thuật thành công ca bệnh ung thư đại tràng di căn gan phức tạp, 73 tuổi nền đa bệnh lý. (Ảnh: BV198) |
Cuộc đại phẫu "kép" đầy thách thức
Thách thức lớn nhất là làm sao để loại bỏ hoàn toàn khối u mà vẫn đảm bảo an toàn cho một bệnh nhân cao tuổi, thể trạng yếu và có nhiều bệnh nền. Sau khi hội chẩn đa chuyên khoa, các bác sĩ quyết định thực hiện phẫu thuật đồng thời:
- Cắt bỏ khối u đại tràng phải.
- Cắt bỏ thùy gan trái (nơi khối u di căn).
Việc kết hợp hai kỹ thuật lớn trong cùng một cuộc mổ giúp bệnh nhân chỉ phải trải qua một lần gây mê, giảm thiểu thời gian nằm viện và chi phí, nhưng đòi hỏi sự chính xác tuyệt đối từ ekip phẫu thuật và hồi sức.
Kết quả phẫu thuật viên mãn
Ê-kip bác sĩ phẫu thuật đã tiến hành ca phẫu thuật với độ chính xác cao, cắt bỏ được hoàn toàn khối u gan và khối u đại tràng, đảm bảo an toàn các chức năng cho bệnh nhân
Nhờ sự phối hợp nhịp nhàng của các phẫu thuật viên và các y bác sĩ Khoa Gây mê hồi sức, cùng chế độ chăm sóc hậu phẫu tận tâm của các y bác sĩ tại Khoa Ngoại tổng hợp, bệnh nhân đã hồi phục nhanh chóng. Các chỉ số sinh tồn ổn định, hiện đã có thể ăn uống nhẹ và vận động tại giường.
 |
| TS.BS. Nguyễn Minh Tuấn - Phó Giám đốc Bệnh viện 19-8 (Bộ Công an). (Ảnh: BV198) |
Theo TS.BS. Nguyễn Minh Tuấn - Phó Giám đốc Bệnh viện 19-8 (Bộ Công an), bác sĩ Phẫu thuật chính, cho biết: "Đây là 1 ca bệnh rất phức tạp, khối u đại tràng phải đã di căn sang gan trái, kèm theo nhiều bệnh lý nền. Cần khảo sát kĩ trước mổ, lên kế hoạch điều trị phù hợp, hội chẩn đầy đủ với các chuyên khoa nội khoa, ung bướu và gây mê, để có phương án tốt nhất cho bệnh nhân...".
Trong phẫu thuật, các bác sĩ sẽ tiến hành xử lý tổn thương theo nguyên tắc ung thư học, kiểm soát chảy máu, đồng thời đảm bảo an toàn tối đa cho người bệnh.
Sau mổ, bệnh nhân được các bác sĩ theo dõi tích cực, hiện tình trạng ổn định, tiếp tục được điều trị theo hướng đa mô thức.