Thứ Năm, 30/10/2025 07:00 (GMT+7)

Sâu răng: Toàn cảnh quá trình tiến triển từ men răng đến tủy và các biến chứng

(SKTE) - Sâu răng là một trong những bệnh lý răng miệng phổ biến nhất trên toàn cầu, với ước tính của Tổ chức Y tế Thế giới (WHO) ảnh hưởng đến khoảng 2.5 tỷ người . Nhiều trường hợp thường bỏ qua các dấu hiệu ban đầu và chỉ tìm đến nha sĩ khi các triệu chứng nghiêm trọng như đau nhức dữ dội xuất hiện. Việc hiểu rõ từng giai đoạn phát triển của bệnh lý này là yếu tố then chốt để can thiệp kịp thời, bảo tồn cấu trúc răng và ngăn ngừa các biến chứng.
Ảnh đại diện tin bài

“Nụ cười rạng rỡ hôm nay – cần được bảo vệ mỗi ngày .

Cơ chế bệnh sinh của sâu răng

Nguyên nhân chính gây sâu răng là sự tác động của axit do vi khuẩn trong mảng bám răng sản sinh ra. Theo Trung tâm Kiểm soát và Phòng ngừa Dịch bệnh Hoa Kỳ (CDC), mảng bám là một lớp màng sinh học (biofilm) hình thành từ vi khuẩn và cặn thức ăn, đặc biệt là carbohydrate (đường và tinh bột). Nếu không được làm sạch, vi khuẩn sẽ chuyển hóa các chất này thành axit, gây ra quá trình mất khoáng chất (khử khoáng) của lớp men răng, từ đó khởi phát tổn thương sâu răng.

Năm giai đoạn tiến triển lâm sàng của sâu răng

Sâu răng là một quá trình diễn tiến mạn tính qua nhiều giai đoạn. Việc can thiệp sớm, đặc biệt ở giai đoạn đầu, có thể đảo ngược tổn thương.

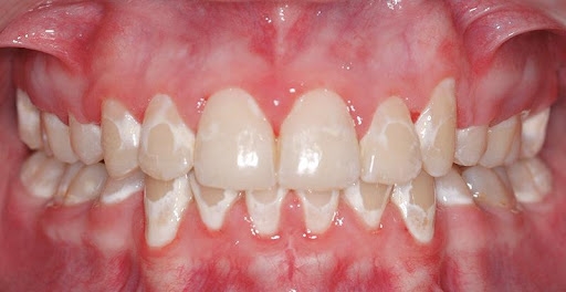
Giai đoạn 1: Tổn thương sớm (Đốm trắng khử khoáng) 

 

Đây là dấu hiệu sớm nhất, biểu hiện bằng các đốm trắng đục trên bề mặt răng do men răng bắt đầu mất khoáng chất. Giai đoạn này thường không có triệu chứng đau và có thể được đảo ngược hoàn toàn bằng các biện pháp tái khoáng hóa, như sử dụng kem đánh răng chứa fluoride theo chỉ định y khoa.

Giai đoạn 2: Sâu men răng

 

Nếu quá trình khử khoáng tiếp diễn không được can thiệp, cấu trúc men răng sẽ bị phá vỡ, hình thành tổn thương lỗ hổng. Ở giai đoạn này, các triệu chứng đau nhức vẫn chưa rõ ràng, khiến người bệnh thường không nhận biết.

Giai đoạn 3: Sâu ngà răng

 

Khi tổn thương lan đến lớp ngà răng (mô mềm hơn nằm dưới men răng), các triệu chứng bắt đầu rõ rệt. Răng trở nên nhạy cảm, biểu hiện bằng cảm giác ê buốt thoáng qua khi tiếp xúc với các kích thích nhiệt (nóng, lạnh) hoặc hóa học (chua, ngọt).

Giai đoạn 4: Viêm tủy răng

 

Đây là giai đoạn biến chứng nghiêm trọng. Tổn thương đã tiến triển sâu vào buồng tủy (nơi chứa dây thần kinh và mạch máu), tạo điều kiện cho vi khuẩn xâm nhập gây viêm. Triệu chứng điển hình là các cơn đau tự nhiên, dữ dội, kéo dài, thường tăng nặng về đêm, theo mô tả của Hiệp hội Nội nha Hoa Kỳ (AAE).

Giai đoạn 5: Hoại tử tủy và Áp-xe quanh chóp

 

Nếu viêm tủy không được điều trị, tủy răng sẽ hoại tử. Nhiễm trùng lan xuống vùng chóp chân răng, hình thành tổ chức mủ (áp-xe). Giai đoạn này có nguy cơ cao gây sưng mặt, sốt, và tiềm ẩn nguy cơ nhiễm trùng lan rộng sang các mô lân cận (viêm mô tế bào), theo cảnh báo từ Hiệp hội Nha khoa Hoa Kỳ (ADA).

Các phương pháp điều trị và giải pháp phòng ngừa

Tùy thuộc vào giai đoạn tiến triển của tổn thương, nha sĩ sẽ có các chỉ định điều trị khác nhau:

• Sâu răng giai đoạn sớm (sâu men, sâu ngà nông): Phương pháp điều trị phổ biến là trám răng (hàn răng). Nha sĩ sẽ loại bỏ toàn bộ mô răng bệnh và lấp đầy khoảng trống bằng vật liệu trám chuyên dụng.

• Sâu răng giai đoạn muộn (viêm tủy, hoại tử tủy): Chỉ định bắt buộc là điều trị nội nha (điều trị tủy) để loại bỏ hoàn toàn phần tủy bị nhiễm trùng. Sau đó, răng cần được trám bít hệ thống ống tủy và phục hình (thường là bọc mão sứ) để bảo vệ cấu trúc răng còn lại. Trong trường hợp răng bị phá hủy quá lớn không thể phục hồi, chỉ định nhổ bỏ sẽ được cân nhắc.

Giải pháp hiệu quả và bền vững nhất là phòng ngừa chủ động

• Chải răng đúng cách ít nhất 2 lần/ngày với kem đánh răng chứa fluoride.

• Sử dụng chỉ nha khoa hàng ngày để làm sạch mảng bám ở vùng kẽ răng.

• Duy trì chế độ ăn uống lành mạnh, hạn chế thực phẩm và đồ uống chứa nhiều đường.

• Thăm khám răng định kỳ 6 tháng/lần để phát hiện và can thiệp sớm các tổn thương

Góc Nhìn Chuyên Gia: "Đừng Chờ Đợi Cơn Đau"

Theo các chuyên gia Răng Hàm Mặt, sai lầm phổ biến và nguy hiểm nhất của bệnh nhân là quan niệm "không đau nghĩa là răng khỏe".

"Khi sâu răng đã gây ra triệu chứng đau hoặc ê buốt (Giai đoạn 3 trở đi), tổn thương đã xâm lấn sâu và việc điều trị bắt buộc là phải can thiệp (trám hoặc điều trị tủy). Ngược lại, 'giai đoạn vàng' để can thiệp là Giai đoạn 1 (đốm trắng khử khoáng). Ở giai đoạn này, bệnh nhân không có bất kỳ cảm giác khó chịu nào, nhưng đây là thời điểm duy nhất tổn thương có thể được đảo ngược hoàn toàn bằng biện pháp tái khoáng hóa chuyên nghiệp.

Mục đích cốt lõi của việc khám răng định kỳ 6 tháng/lần chính là để nha sĩ phát hiện và 'chặn đứng' các tổn thương này khi chúng còn đang ở giai đoạn có thể phục hồi mà không cần xâm lấn. Đăch biệt đừng coi nhẹ sâu răng sữa ở trẻ em, vì nhiễm trùng răng sữa có thể gây tổn hại nghiêm trọng đến mầm răng vĩnh viễn đang phát triển bên dưới."

Nguyễn Hưng
Nhiều sinh viên mất ngủ kéo dài nhưng không xem đó là vấn đề sức khỏe
Nhiều sinh viên mất ngủ kéo dài nhưng không xem đó là vấn đề sức khỏe

(SKTE) - Thức đến 3–4 giờ sáng, ngủ vài tiếng rồi tiếp tục học tập, làm thêm đã trở thành nhịp sống quen thuộc của nhiều sinh viên hiện nay. Điều đáng lo là không ít người trẻ xem mất ngủ như một phần “bình thường” của tuổi trẻ mà không nhận ra cơ thể và não bộ đang âm thầm kiệt sức.

Những dấu hiệu trẻ thiếu chất nghiêm trọng
Những dấu hiệu trẻ thiếu chất nghiêm trọng

(SKTE)- Nhiều cha mẹ nghĩ rằng chỉ cần trẻ ăn được, tăng cân hoặc ít bệnh là đã khỏe mạnh. Nhưng trong thực tế, có những đứa trẻ nhìn bên ngoài hoàn toàn bình thường nhưng cơ thể lại đang thiếu hụt dinh dưỡng kéo dài theo cách rất âm thầm. Điều đáng lo là các dấu hiệu ban đầu thường không quá rõ ràng, diễn ra từ từ nên dễ bị xem là “cơ địa”, “biếng ăn theo giai đoạn” hoặc “lớn lên sẽ tự hết”.

Cảnh báo nguy cơ biến chứng ho gà ở trẻ sơ sinh
Cảnh báo nguy cơ biến chứng ho gà ở trẻ sơ sinh

(SKTE) - Trẻ sơ sinh, đặc biệt là nhóm dưới 3 tháng tuổi, là đối tượng có nguy cơ cao gặp các biến chứng nghiêm trọng và tử vong do bệnh ho gà. Để bảo vệ trẻ trong giai đoạn chưa đủ tuổi chủng ngừa, các chuyên gia y tế khuyến nghị phụ nữ mang thai cần chủ động tiêm vắc-xin phòng bệnh.

Bệnh viện E Thành công với kỹ thuật thay van tim không cần mổ TAVI cho bệnh nhân cao tuổi
Bệnh viện E: Thành công với kỹ thuật thay van tim không cần mổ TAVI cho bệnh nhân cao tuổi

(SKTE) - Các bác sĩ Trung tâm Tim mạch - Bệnh viện E vừa thực hiện thành công bằng kỹ thuật thay van động mạch chủ qua da (TAVI) cho hai bệnh nhân 91 tuổi và 74 tuổi, đều mắc hẹp khít van động mạch chủ, suy tim nặng và cần can thiệp sớm. Đây là phương pháp can thiệp tim mạch hiện đại, ít xâm lấn, giúp rút ngắn thời gian hồi phục và giảm nguy cơ biến chứng.

Những thói quen tưởng là yêu thương nhưng đang âm thầm làm tổn thương con
Những thói quen tưởng là yêu thương nhưng đang âm thầm làm tổn thương con

(SKTE) - Không có cha mẹ nào muốn làm hại con mình. Phần lớn những điều người lớn làm đều bắt đầu từ tình yêu, từ nỗi lo và mong muốn con có tương lai tốt hơn. Nhưng trong thực tế, có những thói quen được duy trì mỗi ngày dưới danh nghĩa “vì con”, lại đang tạo ra áp lực tâm lý, làm suy giảm sự tự tin và ảnh hưởng đến quá trình trưởng thành của trẻ theo cách rất âm thầm.

Hướng dẫn chăm sóc trẻ mắc viêm phế quản tại nhà an toàn
Hướng dẫn chăm sóc trẻ mắc viêm phế quản tại nhà an toàn

(SKTE) - Viêm phế quản là một trong những bệnh lý đường hô hấp thường gặp nhất ở trẻ nhỏ, đặc biệt vào các thời điểm giao mùa. Nắm vững những nguyên tắc chăm sóc khoa học tại nhà sẽ giúp quá trình phục hồi của trẻ diễn ra nhanh chóng, đồng thời giảm thiểu nguy cơ biến chứng.

Một tuổi thơ thiếu an toàn sẽ đi theo đứa trẻ đến tận tuổi trưởng thành
Một tuổi thơ thiếu an toàn sẽ đi theo đứa trẻ đến tận tuổi trưởng thành

(SKTE) - Có những đứa trẻ lớn lên mà chưa từng bị đánh một trận quá nặng. Không có thương tích nghiêm trọng. Không có câu chuyện nào đủ lớn để người ngoài nhìn vào và lập tức gọi tên là “bạo hành”. Nhưng tuổi thơ của các em lại được bao phủ bởi cảm giác căng thẳng kéo dài: sợ tiếng quát lớn, sợ làm sai, sợ khiến người lớn thất vọng, sợ bầu không khí trong nhà bất ngờ trở nên nặng nề.

Béo phì ở trẻ nguy hiểm hơn bạn nghĩ
Béo phì ở trẻ nguy hiểm hơn bạn nghĩ

(SKTE) - Trong nhiều gia đình, một đứa trẻ “mũm mĩm” vẫn thường được xem là dấu hiệu của khỏe mạnh. Những câu nói như “trẻ con phải có da có thịt” hay “lớn lên rồi sẽ cao, sẽ gầy lại” vẫn xuất hiện khá phổ biến. Cách nhìn này không phải vô cớ – nó đến từ một giai đoạn mà thiếu dinh dưỡng từng là nỗi lo lớn hơn dư thừa. Nhưng trong bối cảnh hiện nay, khi điều kiện sống thay đổi nhanh, quan niệm ấy đang dần trở nên không còn phù hợp.

Logo Tạp chí Sức khỏe trẻ em
© Bản quyền 2024 Sức khỏe Trẻ em
Hotline: Hà Nội - (024) 37 765 156 / TP HCM - 0936813116