Tình trạng quen thuộc này, thường được gọi là răng nhạy cảm (hoặc ê buốt răng), về bản chất không phải là một bệnh lý riêng biệt. Chính xác hơn, đó là một dấu hiệu cảnh báo rõ ràng rằng hàng rào bảo vệ tự nhiên của răng đang gặp vấn đề, và các dây thần kinh bên trong đang bị "đe dọa".
Cơ chế gây ra cảm giác ê buốt: Khi "pháo đài" bị xâm nhập
Hãy tưởng tượng răng của bạn là một pháo đài. Lớp ngoài cùng là men răng (phần thân răng) và nướu (phần chân răng) chính là tường thành. Ngay bên dưới lớp tường thành đó là ngà răng – một cấu trúc mềm hơn, chứa hàng ngàn ống ngà siêu nhỏ (li ti) dẫn trực tiếp vào tủy răng (nơi chứa các dây thần kinh và mạch)
Khi "tường thành" này bị tổn hại (men răng mòn đi hoặc nướu bị tụt xuống), lớp ngà răng sẽ bị lộ ra. Lúc này, các kích thích từ bên ngoài (nóng, lạnh, chua, ngọt, hoặc thậm chí là không khí lạnh) sẽ "xâm nhập" qua các ống ngà này, truyền thẳng tín hiệu đến dây thần kinh và gây ra cảm giác ê buốt, đau nhói thoáng qua mà chúng ta gọi là "nhói lên tận óc"
Những "thủ phạm" làm hỏng "tường thành" của bạn
Nguyên nhân khiến lớp ngà răng bị lộ ra thường xoay quanh hai vấn đề chính: Mòn men răng và tụt nướu.
1. Mòn men răng (Tấn công hóa học và cơ học):
Mòn hóa học (Acid Erosion): Thường xuyên tiêu thụ thực phẩm có tính axit cao (chanh, cam, nước ngọt có gas, soda...) hoặc do trào ngược dạ dày. Axit làm "mềm" lớp men răng.
Mòn cơ học (Abrasion): Chải răng quá mạnh, dùng bàn chải lông cứng, hoặc chải răng theo chiều ngang. Nguy hiểm hơn: Chải răng ngay lập tức sau khi ăn đồ chua sẽ bào mòn lớp men đã bị axit làm mềm, gây tổn thương gấp bội.
Tật nghiến răng (Bruxism): Thói quen nghiến răng khi ngủ tạo ra một lực cực lớn, làm mòn và thậm chí nứt mẻ men răng theo thời gian.
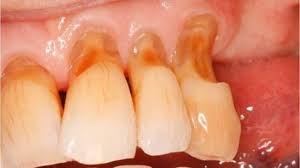
2. Tụt nướu (Lộ chân răng):
Chân răng vốn không có men răng bảo vệ. Khi nướu bị tụt do viêm nướu, viêm nha chu, hoặc do chải răng sai cách gây tổn thương, phần chân răng nhạy cảm này sẽ bị lộ ra.
 |
| Đừng chủ quan khi có tổn thương vùng cổ chân răng. |
3. Các vấn đề nha khoa khác:
Sâu răng: Các lỗ sâu khi phát triển gần đến tủy cũng gây ra cảm giác ê buốt tương tự.
Răng bị nứt, mẻ: Tạo đường cho các kích thích đi thẳng vào ngà răng.
Thủ thuật nha khoa: Ê buốt tạm thời có thể xảy ra sau khi cạo vôi răng hoặc tẩy trắng răng, nhưng thường sẽ tự hết.
Làm thế nào để phòng ngừa răng ê buốt?
Phòng bệnh luôn tốt hơn chữa bệnh. Để bảo vệ những chiếc răng của mình, hãy tập trung vào:
Kỹ thuật chải răng: Dùng bàn chải lông mềm và kem đánh răng chứa fluor. Chải nhẹ nhàng theo chuyển động xoay tròn hoặc theo kỹ thuật Bass (đặt lông bàn chải nghiêng 45 độ về phía nướu), tránh chà ngang.
Thời điểm chải răng: Rất quan trọng! Hãy chờ ít nhất 30 phút sau khi ăn hoặc uống đồ có tính axit rồi mới chải răng. Trong thời gian chờ, bạn có thể súc miệng bằng nước lọc để trung hòa axit.
Chế độ ăn uống: Hạn chế thực phẩm và đồ uống có tính axit. Nếu dùng, hãy dùng ống hút để giảm tiếp xúc với răng
Giải quyết tật nghiến răng: Nếu bạn nghiến răng, hãy đến gặp nha sĩ để được tư vấn làm máng bảo vệ đeo khi ngủ.
Khám răng định kỳ: 6 tháng/lần để cạo vôi răng (giúp nướu khỏe mạnh) và phát hiện sớm bất kỳ vấn đề nào.
Đã lỡ ê buốt, phải làm sao? (Giải pháp từ nhà đến phòng khám)
Khi răng đã trở nên nhạy cảm, bạn có thể áp dụng các giải pháp sau:
1. Giải pháp tại nhà (Giảm triệu chứng)
Sử dụng kem đánh răng chuyên biệt: Đây là giải pháp hàng , hãy tìm các sản phẩm có chứa các hoạt chất như:
Potassium Nitrate (Kali Nitrat): Giúp "làm dịu" các đầu dây thần kinh bên trong tủy, ngăn chúng gửi tín hiệu đau.
Strontium Chloride / Arginine / NovaMin: Hoạt động bằng cách "bít" hoặc "lấp đầy" các ống ngà bị hở, ngăn kích thích lọt vào.
Sử dụng nước súc miệng chứa Fluor: Fluoride giúp tái khoáng hóa men răng và củng cố ngà răng.
2. Can thiệp tại phòng khám (Điều trị nguyên nhân)
Nếu các giải pháp tại nhà không hiệu quả, nha sĩ sẽ cần can thiệp dựa trên nguyên nhân gốc rễ:
Bôi vecni fluor: Nha sĩ sẽ bôi một lớp gel/vecni chứa fluoride nồng độ cao lên răng để củng cố men và ngà răng.
Trám răng (Bonding): Nếu ê buốt do mòn men hoặc tụt nướu làm lộ cổ răng, nha sĩ có thể dùng vật liệu trám composite để "che" vùng ngà răng bị lộ đó lại.
Ghép nướu: Áp dụng cho các trường hợp tụt nướu nghiêm trọng. Nha sĩ sẽ lấy một phần mô nướu (thường là từ vòm miệng) để che phủ phần chân răng bị lộ.
Điều trị tủy (Nội nha): Đây là giải pháp cuối cùng khi các phương pháp khác thất bại và tình trạng ê buốt quá nghiêm trọng, dai dẳng. Nha sĩ sẽ lấy bỏ tủy răng (chứa dây thần kinh), và chiếc răng đó sẽ không còn cảm giác ê buốt nữa.
Răng ê buốt không phải là một "bản án" bắt bạn phải từ bỏ những món ăn yêu thích. Nó là một tín hiệu mà cơ thể gửi đến, yêu cầu bạn chú ý hơn đến sức khỏe răng miệng và đừng bỏ qua nó.
Nếu tình trạng này kéo dài, đừng ngần ngại đến gặp nha sĩ. Họ sẽ giúp bạn tìm ra nguyên nhân chính xác và đưa ra giải pháp điều trị phù hợp, giúp bạn lấy lại niềm vui và cảm giác thoải mái trọn vẹn khi ăn uống.